
Cuboid syndrome occurs when the cuboid bone in the foot becomes partially dislocated or misaligned, leading to pain and discomfort. This bone is located on the outer side of the foot, and misalignment can result from repetitive stress, ankle sprains, or sudden twisting motions. Common symptoms include pain on the outside of the foot, difficulty walking, and a feeling of instability when standing. The pain may worsen with physical activity or pressure exerted on the foot. Diagnosing cuboid syndrome often involves a physical examination by a podiatrist, who may manipulate the foot to check for tenderness or abnormal movement of the cuboid bone. X-rays or other imaging tests may also be used to rule out other conditions and confirm the diagnosis. If you have pain on the outside of your foot, it is suggested that you consult a podiatrist who can determine the cause and provide treatment.
Cuboid syndrome, also known as cuboid subluxation, occurs when the joints and ligaments near the cuboid bone in the foot become torn. If you have cuboid syndrome, consult with Barry P. Weinstein, DPM from Bellaire Podiatry. Our doctor will assess your condition and provide you with quality foot and ankle treatment.
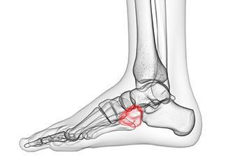
Cuboid syndrome is a common cause of lateral foot pain, which is pain on the outside of the foot. The condition may happen suddenly due to an ankle sprain, or it may develop slowly overtime from repetitive tension through the bone and surrounding structures.
Causes
The most common causes of cuboid syndrome include:
Symptoms
A common symptom of cuboid syndrome is pain along the outside of the foot which can be felt in the ankle and toes. This pain may create walking difficulties and may cause those with the condition to walk with a limp.
Diagnosis
Diagnosis of cuboid syndrome is often difficult, and it is often misdiagnosed. X-rays, MRIs and CT scans often fail to properly show the cuboid subluxation. Although there isn’t a specific test used to diagnose cuboid syndrome, your podiatrist will usually check if pain is felt while pressing firmly on the cuboid bone of your foot.
Treatment
Just as the range of causes varies widely, so do treatments. Some more common treatments are ice therapy, rest, exercise, taping, and orthotics.
If you have any questions, please feel free to contact one of our offices located in Bellaire and Houston, TX . We offer the newest diagnostic and treatment technologies for all your foot care needs.

Toenail fungus, or onychomycosis, is a fungal infection that begins in the skin and spreads to the nail bed. It thrives in warm, moist environments like sweaty shoes, near public pools, and locker rooms. While anyone can get it, older adults, diabetic individuals and those with weakened immune systems are more vulnerable due to slower nail growth and reduced circulation. Infected nails become thick, brittle, yellow, or brown, often crumbling at the edges. The condition can cause discomfort, a foul odor, and in severe cases, pain when walking. Prevention includes keeping feet dry, wearing breathable shoes, and avoiding barefoot exposure in public spaces. Treatment ranges from topical antifungals to prescription oral medications, or laser therapy for stubborn cases. Early intervention is key to preventing permanent nail damage. If you have symptoms of toenail fungus, it is suggested that you see a podiatrist for expert treatment options.
For more information about treatment, contact Barry P. Weinstein, DPM of Bellaire Podiatry. Our doctor can provide the care you need to keep you pain-free and on your feet.
Toenail Fungus Treatment
Toenail fungus is a condition that affects many people and can be especially hard to get rid of. Fortunately, there are several methods to go about treating and avoiding it.
Antifungals & Deterrence
Oral antifungal medicine has been shown to be effective in many cases. It is important to consult with a podiatrist to determine the proper regiment for you, or potentially explore other options.
Applying foot powder on the feet and shoes helps keep the feet free of moisture and sweat.
Sandals or open toed shoes – Wearing these will allow air movement and help keep feet dry. They also expose your feet to light, which fungus cannot tolerate. Socks with moisture wicking material also help as well.
If you have any questions please feel free to contact one of our offices located in Bellaire and Houston, TX . We offer the newest diagnostic tools and technology to treat your foot and ankle needs.

Recurrent ankle sprains occur when the ankle repeatedly rolls or twists, causing damage to ligaments that stabilize the joint. These repeated injuries weaken the ankle over time, leading to chronic instability, swelling, and pain. Common causes include inadequate healing from previous sprains, weakened muscles, or structural issues like high arches or loose ligaments. Each sprain increases the risk of further injury, as the ligaments become less effective at supporting the joint. Persistent instability can interfere with daily activities and increase the likelihood of arthritis in the ankle. Treatment focuses on strengthening the ankle through targeted exercises, including balance exercises, and wearing supportive braces. Custom orthotics may also improve alignment and reduce stress on the joint. In severe cases, surgical intervention may be necessary. If you are experiencing recurrent ankle sprains, it is suggested that you consult a podiatrist to prevent long-term damage and restore stability.
Although ankle sprains are common, they aren’t always minor injuries. If you need your ankle injury looked at, contact Barry P. Weinstein, DPM from Bellaire Podiatry. Our doctor can provide the care you need to keep you pain-free and on your feet.
How Does an Ankle Sprain Occur?
Ankle sprains are the result of a tear in the ligaments within the ankle. These injuries may happen when you make a rapid shifting movement while your foot is planted. A less common way to sprain your ankle is when your ankle rolls inward while your foot turns outward.
What Are the Symptoms?
Preventing a Sprain
Treatment of a Sprain
In many cases, the RICE method (Rest, Ice, Compression, and Elevate) is used to treat ankle sprains. However, you should see a podiatrist to see which treatment option would work best with your injury. In severe cases, surgery may be required.
It is important to ask your doctor about rehab options after you receive treatment for your injury. Stretching, strength training, and balance exercises may help the ankle heal while also preventing further injury.
If you have any questions, please feel free to contact one of our offices located in Bellaire and Houston, TX . We offer the newest diagnostic and treatment technologies for all your foot care needs.

Keeping your feet strong and flexible is essential for preventing pain and injuries. Regular foot exercises can improve circulation, build muscle strength, and maintain mobility. Toe taps are a simple way to get started. Sit with your feet flat on the floor and tap your toes while keeping your heels down. This boosts blood flow and flexibility. Another effective exercise is arch rolls, where you use a small ball, like a tennis ball, to roll under the arch of your foot, relieving tension and toning muscles. Heel raises are also great for strengthening. Stand and slowly lift your heels off the ground, balancing on your toes, then lower down gently. Repeat 10 to 15 times for the best results. If you experience persistent foot discomfort or pain, it is suggested that you see a podiatrist for expert advice and personalized care to keep your feet healthy.
Stretching the feet is a great way to prevent injuries. If you have any concerns with your feet consult with Barry P. Weinstein, DPM from Bellaire Podiatry. Our doctor will assess your condition and provide you with quality foot and ankle treatment.
Stretching the Feet
Stretching the muscles in the foot is an important part in any physical activity. Feet that are tight can lead to less flexibility and make you more prone to injury. One of the most common forms of foot pain, plantar fasciitis, can be stretched out to help ease the pain. Stretching can not only ease pain from plantar fasciitis but also prevent it as well. However, it is important to see a podiatrist first if stretching is right for you. Podiatrists can also recommend other ways to stretch your feet. Once you know whether stretching is right for you, here are some excellent stretches you can do.
It is best to go easy when first stretching your foot and work your way up. If your foot starts hurting, stop exercising and ice and rest the foot. It is advised to then see a podiatrist for help.
If you have any questions, please feel free to contact one of our offices located in Bellaire and Houston, TX . We offer the newest diagnostic and treatment technologies for all your foot care needs.